What Is PCOS?

PCOS is the short form for Polycystic Ovarian Syndrome. Many girls have probably heard of this condition once in their lives, but do you know exactly what this is about or how it affects us?
PCOS describes a syndrome due to “hormonal imbalances”, which includes a collection of various symptoms put together.
These symptoms are most common in adolescent females as well as women in their 20s to 30s.
In our ultimate guide to PCOS, we will be discussing more this common condition (yes, you are not alone in this!), what to expect and what are the best ways to cope with PCOS in your life!
How Is PCOS Diagnosed?

Most girls usually commonly present with some form of menstrual irregularity or excessive male hormone (androgen), before they are diagnosed with PCOS.
PCOS is usually diagnosed based on special criteria called the Rotterdam criteria.
The Rotterdam Criteria states that any 2 out of the 3 following symptoms present indicates the diagnosis of PCOS:
- Irregular menstruation
- Excessive male hormone production ( eg: excessive hair growth or acne)
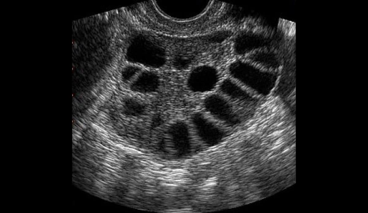
- The polycystic appearance of ovaries on ultrasound
Your doctor will usually perform hormonal blood tests as well as an ultrasound of the pelvis to aid in the diagnosis.
Additional tests may also be done to look for conditions or complications that are related to PCOS eg Diabetes.
However, your hormonal tests or ultrasound do not necessarily have to show abnormalities before a diagnosis of PCOS is made.
So What Does It Mean To Have PCOS?
Here’s the good news:
Being diagnosed with polycystic ovarian syndrome does NOT mean you have many ovarian cysts or growths in your ovaries. It is merely a description of what your ovaries look like.

A polycystic ovary has multiple follicles (>12 follicles) while a normal ovary has an average of 5-6 follicles.
The appearance of these multiple follicles, together with the hormonal changes in your body, usually result in the symptoms that you experience with PCOS.
While PCOS cannot be completely cured, its symptoms can be very well controlled with the appropriate treatment, and patients can go on living a normal life!
We will be explaining the common symptoms of PCOS and how it can affect your life below.
What Are The Common Symptoms Of PCOS And How Does It Affect Me?
1. Irregular Menses

This is one of the most common symptoms that girls with PCOS present with.
Due to ongoing hormonal imbalances and high levels of androgen circulating in the body, it results in these girls have extremely irregular periods.
This can come in the form of having periods once every few months, having no periods at all, or even having them twice in a month.
The most common times that girls present with such symptoms are usually:
- late teens -> during stressful exams or school activities
- twenties -> graduation exams or marriage
- the thirties -> marriage or trying to conceive
Many of our patients have also actually been experiencing these symptoms for years before actually getting themselves checked by a doctor.
2. Acne And Excessive Hair Growth On Your Body Or Face

This is another one of the most common presenting symptoms of PCOS. Girls with PCOS tend to have high levels of androgen (male hormones) in their blood circulation.
The presence of such hormones at higher levels will lead to unwanted and excessive hair growth over the face, arms, legs and body.
These androgens also result in increased production of sebum which tends to clog your pores and hence leads to acne over your face and body.
3. Subfertility

Anovulation is a key feature of PCOS. What does this mean?
Anovulation means girls who are affected by PCOS have problems with monthly ovulation during their menstrual cycle. This problem is also contributed by the irregular periods that they experience.
These anovulatory cycles will mean that girls with PCOS may find themselves having slightly more difficulty with conceiving, especially if they are not ovulating regularly every month.
If you are trying to conceive, you may be prescribed certain medications which can help in ovulation.
Additionally, weight loss for those who are overweight also plays a very crucial role in improving fertility for girls with PCOS.
4. Obesity

The relationship between obesity and PCOS is well established.
Obese people are more likely to experience the symptoms of PCOS.
Being obese increases the amount of circulating androgens in your bloodstream and increases your risk of insulin resistance (pre-diabetes). This in turn results in the increased likelihood of you experiencing symptoms of PCOS!
Additionally, being overweight will also increase your risk of suffering from conditions such as diabetes, high cholesterol or heart disease at a younger age.
5. Metabolic Syndrome

The term ‘metabolic syndrome’ describes a range of diseases which are largely related to many of our current-day lifestyle factors. These include diseases such as diabetes, high cholesterol and obesity, which will increase your overall risk of heart disease and stroke.
Patients with PCOS who are overweight will be more likely to suffer from these problems at a younger age.
6. Increased Risk Of Pre-cancer Or Cancer

How Should I Treat My PCOS Or Deal With It?
The most important way to manage PCOS and live well with it is to modify your lifestyle!

- Regulates your menstrual cycle naturally
- Lowers your risk of metabolic syndrome
- Improves your skin and reduces acne
- Improves your fertility and ovulation
- Reduces your risk of getting womb cancer or pre-cancer
What Medications Can I Take For PCOS?
While changing your lifestyle and exercise is one of the best ways to manage your PCOS, doing so takes time before you see any visible results in your condition and health.
Meanwhile, your doctor may prescribe some medications to help you cope with some of the symptoms that you may be experiencing with PCOS.
1. Birth Control Pills

2. Progesterone Pills
3. Metformin

Metformin is a medication that is commonly used to treat diabetes.
The relationship between PCOS and diabetes is well established.
While taking metformin can improve the insulin resistance that’s associated with PCOS, it also has the added benefit of improving ovulation in women with PCOS who are trying to conceive.
3. Clomiphene

Clomiphene is an ovulation induction medication. It is usually used to induce ovulation for patients with PCOS who desire fertility. Studies have shown that 60-85% of patients successfully ovulate after taking clomiphene, with 30-50% of them achieving pregnancy after 6 cycles.
What’s The Best Way To Prevent Endometrial Hyperplasia Or Cancer?

As mentioned above, taking birth control pills or progesterone pills to regulate or induce your periods will actually help to reduce your risk of endometrial hyperplasia or cancer!
Oral contraceptive pills have been proven to reduce your risk of ovarian and endometrial cancer.
While taking progesterone pills 3 monthly to induce a withdrawal bleed will help to maintain the health of your endometrium, which also reduces its risk of developing hyperplasia or cancer.
Last but not least, WEIGHT LOSS and a healthy lifestyle will also go a long way in preventing such problems.